- トップ
- NEWS / BLOG
- CASE
- 超低侵襲性のセラミック治療

ラミネートベニア(0.3mm)
治療説明
こんにちは。
院長の高田です。
今回は超低侵襲性セラミックス治療について説明します。
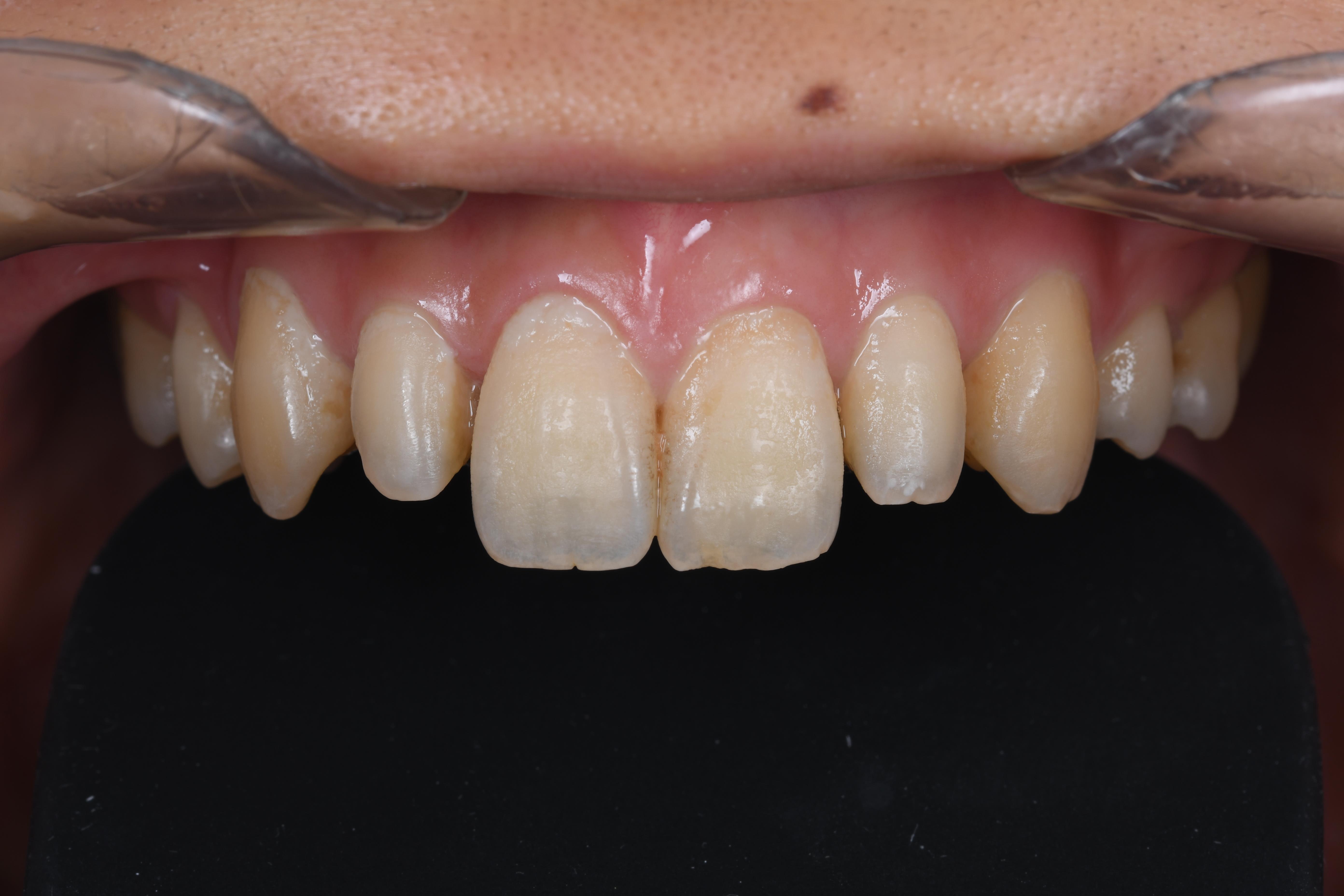
患者様は20代の女性で右上の2番が小さい為、審美的に綺麗にしたいとの主訴でご来院されました。
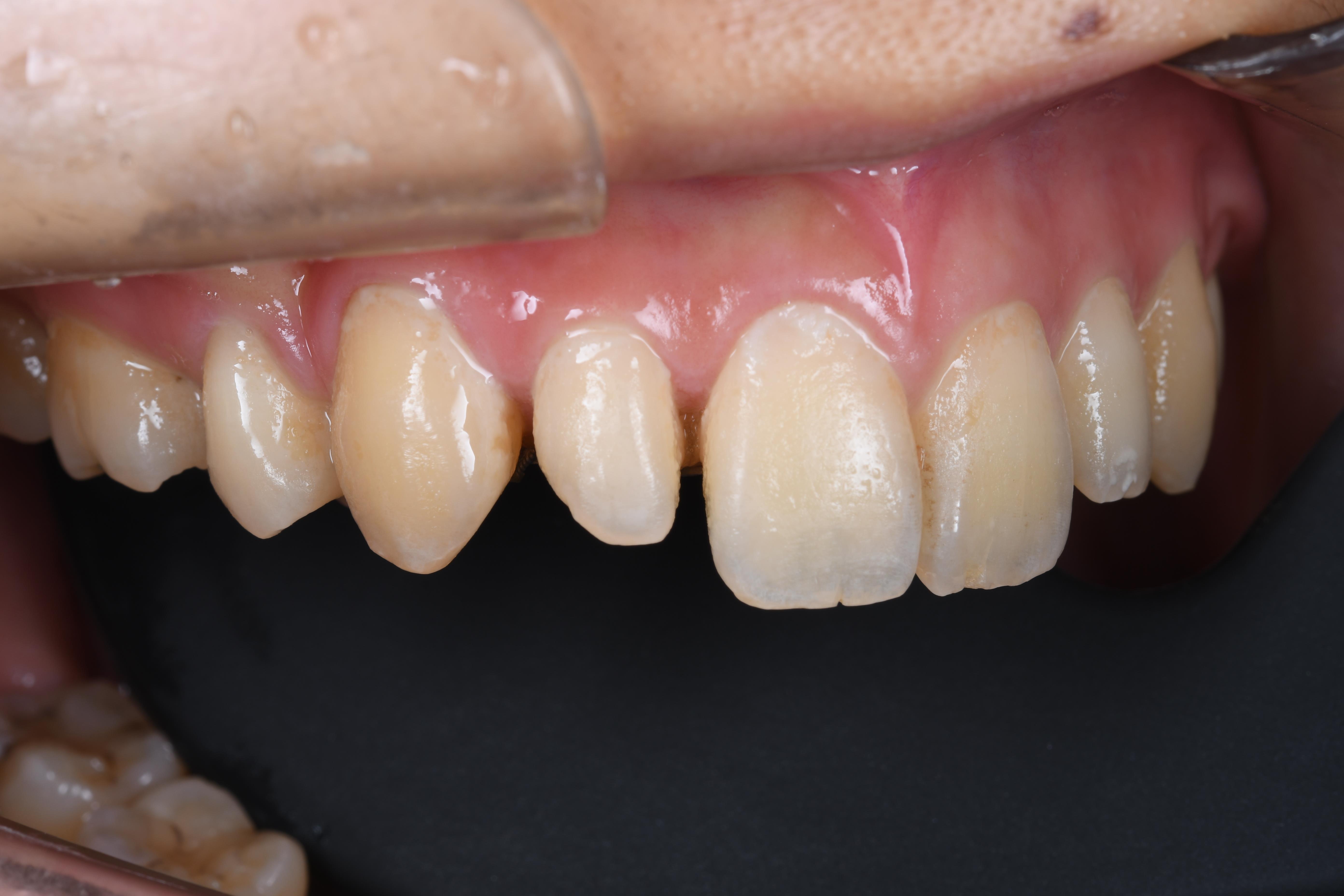
上段、一番左と中央のスライドが初診時の正面観と側方面観です。
そして一番右側の黄色い点線の部分が形成後のスライドです。
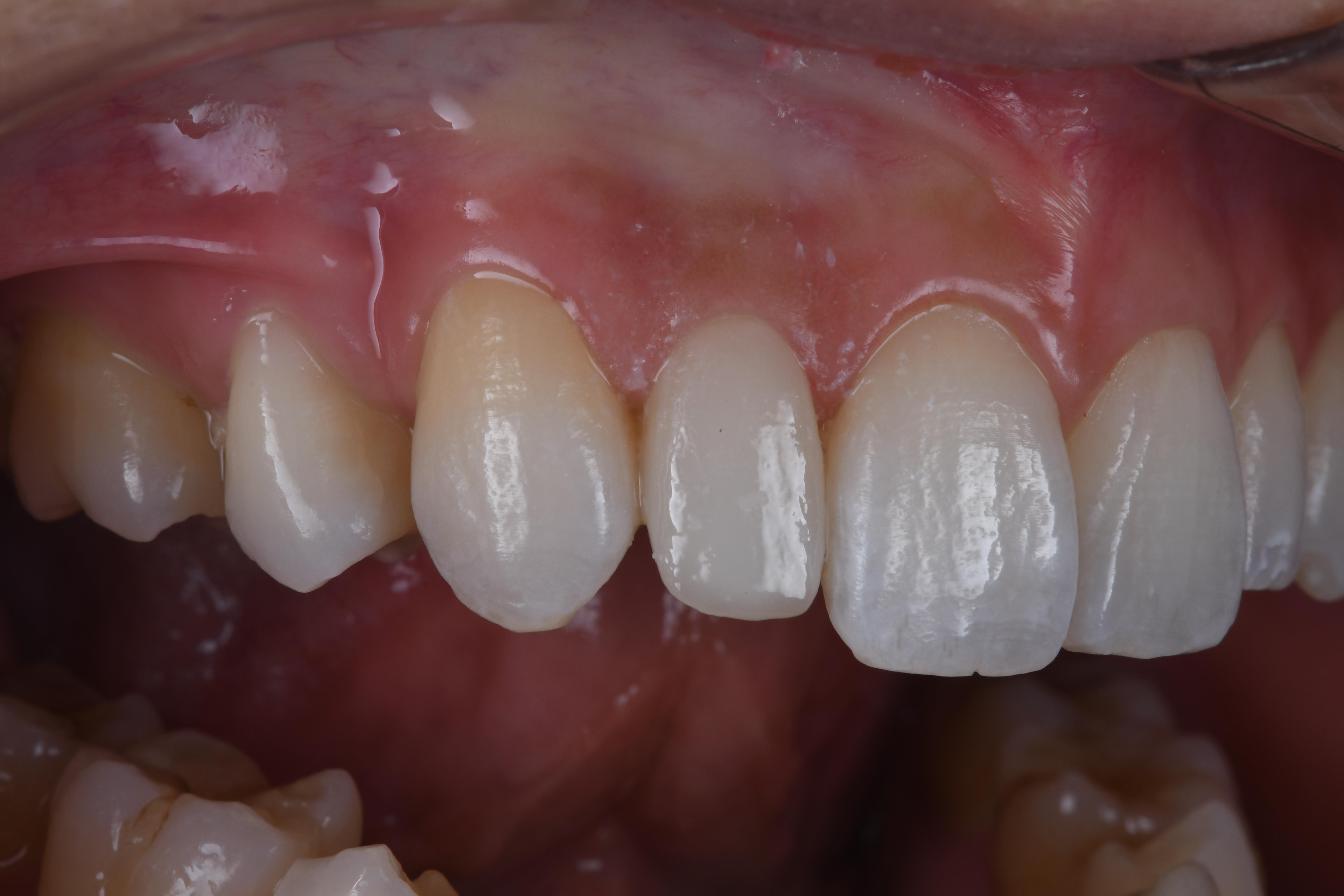
下段、一番左がセラミックの厚さ約0.3mmを表したもので、中央のスライドがセットしたラミネートベニアという、つけ爪みたいなセラミックスです。右がセット後の口腔内側方面観です。
治療については、やみくもに削ってセラミックスを接着しているわけではなく、まず診断用の模型をとり、その模型を使って患者さんの納得のいくよう理想的な形態に作った右上2番の仮歯を作成し、形成にはいっていきます。
形成も余計なところを削らないように計画的にリダクションガイドという削合する部分がわかるようなガイドを使って、マイクロスコープ下で低侵襲性(約0.3mm)に形成していきます。
接着においても患者の希望した色になる様、接着する前にトライインペーストを用いて色の確認をした後に本接着をしていきます。
計画性のあるセラミックス治療を行うことにより、より低侵襲性で患者様の大切な歯も必要最低限の削合量ですむことができます。
*この患者様は形成前にホワイトニングを行なっています。







